Weldability of Differing Kinds of Stainless Steel – Part 1
Weldability of Differing Kinds of Stainless Steel – Part 1
In an earlier article on Stainless Steels, we learnt there were four distinct types and an additional one that was a hybrid of some of the others. The distinct types were defined as:
- Austenitic
- Ferritic
- Martensitic
- Duplex
The hybrid was defined as Precipitation Hardening or PH.
There are many things to be aware of when welding each of these stainless types and it’s beyond the scope of these short articles to delve deeply into complex metallurgy. The objective is to simply point out the areas that one needs to understand and be aware of and, the possible pitfalls that need to be overcome. This article, Part 1, will deal with the weldability of the Austenitic and Ferritic types
1.0 Weldability of Austenitic stainless Steels
In some ways austenitic stainless steels are easier to weld than carbon steels since they do not suffer from hydrogen-induced cold cracking (HICC) due to being austenite at room temperature (instead of martensite). As a consequence, preheat is rarely used in welding austenitic grades except to dry off moisture.
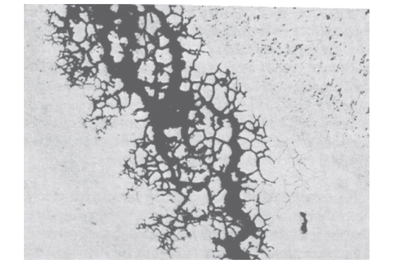
These steels can suffer from a phenomenon known as sensitization which occurs in the heat affected zone (HAZ) and is caused by carbide precipitation during welding . Accelerated corrosion attack during service can occur in sensitized areas of the HAZ as depicted in Figure 1. To get around this, most welded alloys are the low carbon grade e.g., 304L, 316L. If, for design purposes, the L grades cannot be used other alloys known as “stabilized” types are available, (321 and 347) as alternates.
These stainless steels may also be prone to weld metal cracking which occurs on solidification (solidification cracking). To counteract this, electrodes are formulated to produce a small quantity of ferrite 5-7% at initial solidification as the ferrite does not suffer from this problem. This ferrite quantity is measured in the field by using a ferrite meter which works on the principal of magnetic induction. Ferrite is magnetic and austenite is nonmagnetic.
An important aspect of welding austenitic stainless is selection of an electrode having the correct alloy composition. In most cases it will be similar to that of the base plate but slightly richer in nickel and chromium to compensate for losses during welding. For example, with the common 304L type a E308L grade electrode is normally specified. This has a higher content of nickel and chromium than the base metal. The composition of these electrodes also ensures the presence of some ferrite in the weld metal to prevent the occurrence of cracking.
When the procedure involves welding onto a carbon steel an electrode with sufficient alloy content to handle the mixing of the alloys in the weld pool must be used. A stainless electrode (usually 309/309L) can be used over carbon steel but a carbon steel electrode cannot be used over stainless as the resultant microstructure can produce the crack sensitive martensite. This simple mistake has caused many serious problems in industry. Additionally preheat may be needed to reduce the probability of HICC in the carbon steel HAZ.

2.0 Weldability of Ferritic Stainless Steels
The ferritic stainless steels contain 10.5 to 30% Chromium, and up to 0.20% Carbon and most do not undergo any metallurgical phase change when heated. Therefore, when welding, metallurgical grains continue to grow as the temperature is raised with the result that large grains exist after the steel is welded. The extent of grain growth depends to a large degree on the heat input of the welding process, and careful control of this is necessary. Large grains have a detrimental effect on the toughness of the steel, which can exhibit severe embrittlement in the weld and HAZ after welding. Damage done during welding is permanent, making it imperative that welding is performed within the heat input restrictions applied.
To weld the ferritic stainless steels, filler metals should be used which match or exceed the Cr level of the base alloy and they are available for most of the alloys. Preheat should be limited to 150-230 C and used only for the higher carbon ferritic stainless steels (e.g., 430, 434, and 442). Many of the highly alloyed ferritic stainless steels are only available in sheet and tube forms and are usually welded by GTAW without filler metal.
Most of the ferritic stainless steels can be joined with matching filler metals, although there may be limitations on availability. Welding ferritic steels requires careful control of procedures to avoid contamination by oxygen and particularly by carbon, nitrogen and hydrogen. Even small quantities of these elements can greatly embrittle the weld metal and heat affected zone. Some of the practical steps that can be taken to avoid contamination are discussed under “general operations” below.
3.0 General Operations
- Operationally, for the GMAW process, the oxidizing component in the shielding gas (O2 or CO2) should be kept to a minimum to avoid loss of alloying elements during droplet transfer and an oxidized weld surface. Ar + 2% O2 (or similar additions of CO2) is a commonly used shielding gas for GMAW.
- Of great importance is the need for cleaning pre and post welding. Stainless steels unique corrosion properties may be destroyed by the presence of contaminants picked up on the surface during welding operations. Chlorides and other members of the halogen family contribute to stress corrosion cracking (SCC) and should be avoided. Fluids, such as degreasing agents, machining and cutting fluids, contact tape etc. should be halogen free. Carbon contamination requires careful control, particularly when welding the low carbon and ferritic steels, and among the necessary precautions, in addition to shielding gas controls, are:
-
use stainless steel cleaning brushes and tools reserved for stainless steel
- use aluminum oxide grinding wheels reserved for stainless steel
- carefully clean off grease and dirt before welding
- One side welding (e.g., the root run of a pipe weld) requires shielding on the reverse side to prevent oxidation and subsequent loss of corrosion resistance. This is commonly referred to as “sugaring”, as it often looks like granulated sugar
Read Part 2.
Mick J Pates IWE
President PPC and Associates
Disclaimer
The information provided is intended for general interest, to educate and inform our audience. The CWB and those providing feedback to the questions do not take any responsibility for any omissions or misstatements that could lead to incorrect applications or possible solutions that industry may be facing.
How It Works content is submitted by Industry experts to the CWB Association and does not necessarily reflect the views of the CWB Group. When testing for CWB Certification or CWB Education, please refer to CWB Education textbooks or CSA standards as the official source of information.